Miro Histology Lab

Connective Tissue & Muscle Histology

Three muscle types. Three connective tissue types. Use the label reveals, quick checks, and bettybroadbent.com reference pages to explore each tissue β€” then put your skills to the test in the Mystery Lab.

πŸ”¬ Click numbered chips to reveal each labeled structure πŸ’‘ Quick checks test understanding after each section πŸ•΅οΈ Mystery Lab: identify the tissue from the image alone
Stain key: H&E β€” nuclei: dark purple Β· cytoplasm & collagen: pink Masson's Trichrome β€” muscle: red/pink Β· collagen: blue Β· nuclei: black Verhoeff β€” elastin fibers: black

Skeletal Muscle

H&E
Striated?
βœ“ Yes
Voluntary?
βœ“ Yes
Nucleus position
Peripheral (many)
Cell shape
Long cylinder
Unique feature
Multi-nucleate
πŸ“Œ
Why two views? A muscle fiber is a long cylinder. Cut it lengthwise β†’ long ribbons with striations visible (longitudinal). Cut it face-on β†’ circular profiles with nuclei at the outer rim (cross-section). Same tissue, completely different image. Histologists always look at both.
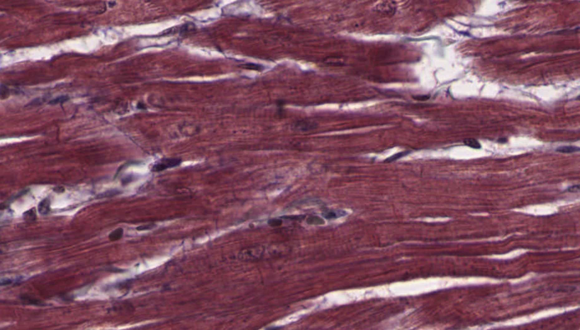
Longitudinal Section β€” Slide 058-Thin Β· H&ELook along the length of the fibers. Find the alternating dark and light cross-bands (striations) and locate the nuclei β€” they should be at the very edge of each fiber, never in the center.
Skeletal muscle longitudinal section H&E
Skeletal muscle β€” longitudinal section Β· H&E Β· Slide 058-Thin Β· University of Michigan Histology (CC BY-NC-SA 3.0)
Click each numbered chip to reveal the labeled structure
Cross Section β€” Slide 058-T Β· H&ENow you are looking at the cut face of the same cylinders. Each circle is one fiber. Find the nuclei at the rim, count the fascicles, and trace the CT wrappings from innermost to outermost.
Skeletal muscle cross section H&E
Skeletal muscle β€” cross section Β· H&E Β· Slide 058-T Β· University of Michigan Histology (CC BY-NC-SA 3.0)
Click each numbered chip to reveal the labeled structure
πŸ₯
Clinical Connection β€” Duchenne Muscular Dystrophy (DMD)

DMD results from a mutation in the dystrophin gene. Dystrophin links the sarcolemma to the internal cytoskeleton, stabilizing the membrane during contraction. Without it, the sarcolemma tears repeatedly, calcium floods the cell, and the fiber degenerates. On H&E, affected muscles show fibers of wildly variable size, centrally-relocated nuclei (a regeneration sign), and replacement by fat and CT. The peripheral nucleus you just labeled? Its position is the first thing that changes in a diseased fiber.

⚑ Quick Check β€” Skeletal Muscle

Skeletal muscle fibers are multinucleate β€” one fiber, many nuclei. Where do all those nuclei come from?
AnswerEach fiber formed by the fusion of many embryonic cells called myoblasts. All their nuclei remain in the merged cell β€” hence dozens to hundreds of nuclei per fiber. They're pushed to the periphery to make room for myofibrils, which occupy over 80% of the cell's volume.
In a cross-section, a student points at dots near the centers of fiber circles and calls them nuclei. Are they correct? What's the giveaway?
AnswerNo β€” skeletal muscle nuclei are peripheral, pushed to the outer edge. Central nuclei indicate cardiac muscle or a regenerating/diseased skeletal fiber. If you see central nuclei in skeletal muscle, that is a diagnostic red flag.

Cardiac Muscle & Dense Irregular Connective Tissue

Masson's Trichrome
Striated?
βœ“ Yes
Voluntary?
βœ— No
Nucleus position
Central (1–2)
Branching?
βœ“ Yes
CT fiber direction
Multi-directional
Read this before you look at the images below On both Slide 100 images, you will see blue-stained collagen bundles β€” that is your Dense Irregular Connective Tissue (the fibrous skeleton of the heart and the subendothelial CT). You will also see red/pink-stained fibers β€” those are your cardiac muscle cells (cardiomyocytes). Masson's Trichrome was designed specifically to separate collagen from muscle, and that distinction is the entire point of these slides. Whenever you see blue in the heart: connective tissue. Red: muscle.
Endocardium β€” Slide 100 Β· Masson's TrichromeStart with the innermost layer of the heart wall. The thin surface layer is endothelium. Directly beneath it you will find blue-stained subendothelial CT. Deeper still, the cardiomyocytes begin β€” red/pink branching fibers. This slide shows you exactly where CT ends and muscle begins.
Endocardium Masson's Trichrome Slide 100
Endocardium Β· Masson's Trichrome Β· Slide 100 Β· bettybroadbent.com
Click each numbered chip to reveal the labeled structure
Fibrous Skeleton β€” Slide 100 Β· Masson's Trichrome β€” Dense Irregular CTThis view focuses on the fibrous skeleton β€” the dense irregular CT rings that anchor the heart valves and electrically isolate the atria from the ventricles. Notice that the blue collagen bundles here run in multiple directions, not in neat parallel rows. That is the hallmark of dense irregular CT. Compare the fiber directions here to the dense regular CT tendon in Tab 4.
Fibrous Skeleton Dense Irregular CT Masson's Trichrome Slide 100
Fibrous Skeleton β€” Dense Irregular CT Β· Masson's Trichrome Β· Slide 100 Β· bettybroadbent.com
Click each numbered chip to reveal the labeled structure

Cardiac Muscle Detail β€” Slide 098 Β· Masson's Trichrome Β· Right Heart WallNow zoom in on the cardiomyocytes themselves. These are the red/pink branching fibers. Look for the central nucleus in each cell, the faint striations, and the intercalated discs β€” the dark transverse lines where two cardiomyocytes meet end-to-end.
Cardiac muscle right heart wall Masson's Trichrome
Cardiac muscle β€” right heart wall Β· Masson's Trichrome Β· Slide 098 Β· bettybroadbent.com
Click each numbered chip to reveal the labeled structure
πŸ₯
Clinical Connection β€” Myocardial Infarction & Fibrosis

Cardiac muscle cannot regenerate after death. Following an MI, necrotic cardiomyocytes are replaced by scar tissue β€” dense irregular CT. On Masson's, this appears as an expanding blue patch where red muscle used to be. Cardiologists call this replacement fibrosis. You now know exactly what that scar looks like. A large enough scar reduces contractile force and can cause conduction problems β€” the scar is electrically silent, and action potentials must route around it.

⚑ Quick Check β€” Cardiac Muscle & Dense Irregular CT

You are looking at an H&E section of striated muscle. The nuclei are central and the fibers branch. Skeletal or cardiac? What single feature clinches it?
AnswerCardiac muscle. The central nucleus clinches it β€” skeletal muscle nuclei are always peripheral. Branching fibers also point to cardiac, but the nucleus position is the more reliable and diagnostically important feature.
Dense irregular CT and dense regular CT both contain densely packed collagen. What is the single structural difference, and why does it matter functionally?
AnswerFiber direction. Dense regular = parallel β†’ resists force in one direction (tendon). Dense irregular = fibers crossing in multiple planes β†’ resists force from all directions (dermis, fibrous skeleton, organ capsules). Structure always reflects mechanical demand.

Smooth Muscle & Elastic Connective Tissue

Verhoeff β€” elastin fibers = BLACK
Striated?
βœ— No
Voluntary?
βœ— No
Nucleus position
Central (1 per cell)
Cell shape
Spindle
Elastic CT feature
Squiggly elastin fibers
Elastic Artery Wall β€” Slide 303 Β· Verhoeff Stain β€” Two tissues on this slideThis single slide gives you both smooth muscle and elastic CT at once. Orient yourself by finding the lumen (open central space), then work outward. The Verhoeff stain has turned elastin fibers unmistakably black β€” everything else appears lighter. The smooth muscle cells are the spindle-shaped cells embedded between those black lines in the tunica media.
Elastic artery wall Verhoeff stain
Elastic artery wall Β· Verhoeff stain Β· Slide 303 Β· bettybroadbent.com
Click each numbered chip to reveal the labeled structure
⚠️
Don't confuse elastin and collagen. On Verhoeff stain, elastin = black and wavy (squiggly). Collagen would be pink on H&E. On this slide, every black lamina is elastin β€” they are the elastic CT. The smooth muscle cells are the lighter spindle-shaped cells between them.
πŸ₯
Clinical Connection β€” Aortic Aneurysm

An aortic aneurysm is a dangerous dilation of the aortic wall caused by breakdown of the elastic laminae you just labeled β€” from hypertension, Marfan syndrome (fibrillin-1 mutation), or atherosclerosis. The smooth muscle may still look intact, but without the elastic scaffold, the wall can't withstand systolic pressure. On Verhoeff stain, you would see those beautiful parallel black lines becoming fragmented, interrupted, or absent in the affected region.

⚑ Quick Check β€” Smooth Muscle & Elastic CT

A smooth muscle cell nucleus looks like a corkscrew in the slide. Was this cell damaged? What actually caused that shape?
AnswerNot damaged β€” the cell was actively contracting when the tissue was fixed. Contraction twists the whole cell, including the nucleus. A corkscrew nucleus = cell was contracted at fixation. This is actually evidence that your smooth muscle is normal and functional.
Elastic arteries are sometimes called a "second pump." Explain what that means using what you saw on this Verhoeff slide.
AnswerDuring systole, blood ejected from the heart stretches the elastic laminae (those squiggly fibers straighten under pressure). During diastole, the fibers recoil β€” and that recoil pushes blood forward, maintaining diastolic pressure. The elastic wall stores and releases energy with each heartbeat, smoothing out pulsatile flow. Remove the elastic fibers and diastolic pressure drops.

Dense Regular Connective Tissue

H&E
Fiber arrangement
Parallel bundles
Key cells
Fibrocytes
H&E appearance
Pink fibers; dark flat nuclei
Function
Resists tension in one direction
Found in
Tendons, ligaments
Dense Regular CT β€” Slide 104 Β· H&ELook for the hallmark: collagen bundles running in the same direction throughout the field. Contrast this deliberately with the fibrous skeleton image in Tab 2, where bundles cross in multiple directions. The fibrocyte nuclei appear as dark, flattened shapes squeezed between the bundles β€” almost invisible because the cells have almost no cytoplasm. The subtle waviness of the fibers is the crimp pattern.
Dense Regular CT H&E Slide 104
Dense Regular CT Β· H&E Β· Slide 104 Β· bettybroadbent.com
Click each numbered chip to reveal the labeled structure
⚠️
Fibroblast vs. fibrocyte β€” which is it? Both build and maintain CT fibers, but fibroblasts are active builders and fibrocytes are the maintenance-mode version. In mature, stable CT tissue, the cells are fibrocytes. They look nearly identical in H&E β€” you tell them apart by context, not appearance.
πŸ”„
Compare to Tab 2. You have now seen dense regular (parallel fibers here) and dense irregular CT (criss-crossing fibers in the fibrous skeleton). Go back to the fibrous skeleton image and look at the fiber directions again. That structural difference β€” parallel vs. multidirectional β€” is the single most testable concept in this lab.
πŸ₯
Clinical Connection β€” Tendon Rupture

The Achilles tendon is the largest tendon in the body and one of the most commonly ruptured. It almost always tears at the watershed zone (2–6 cm above the calcaneal insertion) β€” the region with the poorest blood supply. Dense regular CT has very few blood vessels because cells are sparse and the matrix is mostly collagen. Efficient for transmitting force; terrible for healing. That is why Achilles rupture recovery takes months, not weeks.

⚑ Quick Check β€” Dense Regular CT

Two CT slides: one has fibers in neat parallel rows; the other has fibers crossing in every direction. One is tendon; one is dermis. Which is which, and how do you know?
AnswerParallel = tendon (dense regular CT). Crossing = dermis (dense irregular CT). Skin is pulled and stretched in every direction, so it needs multi-directional fiber strength. Tendons only transmit force along one axis, so parallel organization is most efficient. Structure always follows function.
Dense regular CT has almost no visible ground substance between the fibers. What does this tell you about cell density, and what is the functional advantage of a matrix-dominated tissue?
AnswerMatrix dominates; cells are sparse. The tissue needs to transmit and withstand enormous tensile forces β€” collagen fibers, not cells or ground substance, provide that strength. Extra cells would need blood supply and space without adding tensile strength. For a biological cable, collagen-dense and cell-poor is exactly right.

All Three CT Types β€” Side by Side

CT TypeFiber ArrangementKey CellsStain AppearancePrimary FunctionSpecimen
Dense RegularParallel bundlesFibrocytesPink fibers; dark flat nuclei between themResists tension in ONE directionSlide 104 (Tab 4)
Dense IrregularMulti-directionalFibrocytesBlue collagen (Masson's); crossing bundlesResists force from ALL directionsSlide 100 (Tab 2)
Elastic CTSquiggly elastin fibersFibrocytesBLACK wavy fibers (Verhoeff)Stretch and recoilSlide 303 (Tab 3)

πŸ•΅οΈ Mystery Lab β€” Tissue Detective

Four unknown specimens below. Each card tells you how many tissues are on the slide. Examine the image carefully and make your best identification before using the hint. Record your identification and give three features that support it.

A

Mystery Tissue A

2 tissues on this slide
Mystery Tissue A
One hint available
Find the open space in this image first β€” that's your anchor point for everything else. Then ask yourself: what kind of tissue lines hollow tubes and must handle repeated stretching with every pulse?
B

Mystery Tissue B

2 tissues on this slide
Mystery Tissue B
One hint available
Look at the stain colors carefully β€” are both collagen and muscle visible? Then find the cells in each region: check nucleus position and whether any banding pattern is present. One region will be almost entirely matrix; the other will be mostly cells.
C

Mystery Tissue C

1 tissue on this slide
Mystery Tissue C
One hint available
This tissue is dominated by collagen fibers with relatively few cells. Look at the direction the fibers are running β€” does every bundle go the same way, or do they weave in multiple directions? That fiber direction is your identification key.
D

Mystery Tissue D

1 tissue on this slide
Mystery Tissue D
One hint available
Find the nuclei first β€” count them per cell and locate their position within the cell. Then look for any banding pattern across the fibers. Those two observations together should narrow you to one tissue type.